Orthodontics

Meet Our Orthodontists   |  Forms   |  Before and After Braces Photos
Cost of Braces & Financial Options   |  Clear Braces   |  Invisible Braces with Invisalign   |  Straightening Teeth Without Braces   |  Orthodontics for Children & Adults


Meet Our Orthodontists

Peter Feibish, D.D.S. - Orthodontist

Orthodontist - Dr. Peter Feibish Dr. Feibish graduated from Rutgers University and then attended Temple University School of Dentistry where he graduated with honors. After Dental School he went on the Columbia University Post Grad department and earned an advanced degree in Orthodontics. Dr. Feibish provides comprehensive orthodontic treatment to adolescents and adults, including conventional Tip-Edge, Straight wire, and Invisalign invisible orthodontic treatment.

“I believe that orthodontics allows me the opportunity to help patients, young and old, to have a combination of a healthy mouth and great smile that can help them achieve better comfort, function and a pleasing appearance over their life time.”

Recreational activities include above par golf, below par dancing, blue square skiing and thirty something basketball.

Steve Scher, D.M.D. - Orthodontist

Orthodontist - Dr. Steve Scher Dr. Scher has been our orthodontist at Dental Care of Stamford for over 18 years. With four children of his own, Steve is great with kids. He is one of only 20% of orthodontic specialists who are certified by the prestigious American Board of Orthodontists. In addition, he has received the Roth Williams training, making him an exceptionally skilled orthodontic specialist. Dr. Scher is also certified in Invisalign, the invisible braces.

Whether you are a small child, an adolescent or an adult, our orthodontist, Dr. Scher, can help you have the great smile you have always wanted.


Dr. Simon Zmuidzinas, D.D.S., M.S. - Orthodontist

Orthodontist - Dr. Simon Zmuidzinas Dr Z grew up in Rochester, NY and graduated from New York University, Phi Beta Kappa.

He attended The Ohio State University where he received his DDS and Masters in Science and Orthodontic degrees.

He is one of only 25% of orthodontic specialists who are board-certified by the prestigious American Board of Orthodontists, is also board-certified by the European Board of Orthodontics, uses the newest Damon System braces and is certified in Invisalign invisible orthodontic treatment.

He practiced in Switzerland for 22 years before returning to his native USA.

"Creating Beautiful Healthy Smiles Is My Passion. A beautiful, healthy smile at any age is the first impression that the world has of an individual. One's smile is the key to open many locked doors. I love being a part of helping patients unlock those doors.”

In his free time "Dr. Z” loves to travel, do volunteer work, video production, play basketball, hike, gourmet cook and enjoys "the arts" very much.

Dr. Uttampal Singh, D.D.S. - Orthodontist

Orthodontist - Dr. Uttampal Singh Dr. Uttampal Singh grew up in India and came to the USA. He graduated from the University of California at San Francisco, School of Dentistry and received the “ Outstanding Peer Award”. After Dental School, Dr. Singh received his degree in Orthodontics at Roseman University of Health Sciences, Nevada and settled in Connecticut.

Dr. Singh focuses his energy on providing you with an outstanding orthodontic experience. From the moment you and your family enter our practice to the moment you leave, you can expect to receive exceptional treatment with unconditional care, kindness, loyalty and respect.

"I know that every patient has different needs, so every treatment is different. I pride myself in the courteous service I deliver to each person and enjoy giving you the smile you deserve. You are not just our patients but our family."

On his personal time, Dr. Singh enjoys spending time with his wife (a Child Psychiatrist), daughter and friends.

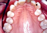
Using the computer to diagnose an orthodontic case

teeth straigntening
Diagnoseing an orthodontic case
teeth straightening

Top


Forms

To Save time at the office you can print and fill out the forms and bring them with you!!

Download
Adult Form Request an Appointment
  Download
Child Form Request an Appointment


Before and After Braces Photos

Before After
Braces before photo #1a Braces after photo #1a
Braces before photo #1b Braces after photo #1b
Braces before photo #1c Braces after photo #1c
Braces before photo #1d Braces after photo #1d

Before After
Braces before photo #2a Braces after photo #2a
Braces before photo #2b Braces after photo #2b
Braces before photo #2c Braces after photo #2c
Braces before photo #2d Braces after photo #2d

Before After
Braces before photo #3a Braces after photo #3a
Braces before photo #3b Braces after photo #3b
Braces before photo #3c Braces after photo #3c
Braces before photo #3d Braces after photo #3d

Top

Cost of Braces & Financial Options

The cost of orthodontic treatment varies with the individual patients’ dental conditions and treatment selected. The purpose of the orthodontic consultation is for the doctor to discuss your personal needs and concerns, examine your dental conditions and then present treatment options that will best suit your dental needs and lifestyle.

Once we have arrived at a course of action, we can have a candid discussion of the fees and finances. Orthodontic treatment is not an every day occurrence and we have many options and financial arrangements to cover the cost of braces so straightening teeth does not have to be a strain on anyone’s budget.

Clear Braces

Modern orthodontic treatment can make even traditional braces clear so you can see only a tiny thin wire from conversational distance. No more “metal mouth”. In some cases it is even possible to have all of the braces on the inside so there is nothing at all to see from the outside.

Invisible Braces with Invisalign

Invisalign is a system that uses a series of virtually invisible plastic aligners instead of traditional braces to move the teeth. They look like ultra thin clear mouth guards or bleaching trays. They are so hard to detect that even a dentist cannot see them from conversational distance.

Another benefit is that you can take them off to eat, brush and floss. This makes the whole process more comfortable and easier to manage.

All of the aligners are made by a computer from a model of the patient’s teeth. The computer figures how many steps will be required to more the teeth from the current position to the desired position. Then a series of aligners are made and they are changed sequentially once every two to three weeks and the teeth are gently moved. These are two actual cases that show the computer simulations for how the straightening is a accomplished, step by step. Each step is a different aligner.

Invisalign treatment #1

Invisalign Treatment #2

Before Invisalign After Invisalign
Invisalign before photo #1a Invisalign after photo #1a
Invisalign before photo #1b Invisalign after photo #1b
Invisalign before photo #2a Invisalign after photo #2a
Invisalign before photo #2b Invisalign after photo #2b

Straightening Teeth with Porcelain Veeners

Some adults dental conditions are not suited for braces, some adults just do not want to take the time for orthodontic teeth movement. Some adults have teeth that are crooked, discolored, decayed and would need porcelain veneers after braces any way. Sometimes we can straighten, repair and whiten teeth all at once. At Dental Care Kids and Dental Care of Stamford we have both orthodontic specialists and cosmetic procedures like porcelain veneers. Click the two links below to see how we can use veneers to “straighten teeth” in just two weeks.

Case #1

This case of extremely crooked, discolored teeth was treated in just two weeks. The results show a remarkable transformation with no braces.

Porcelain veneers before photo #1a Porcelain veneers after photo #1a
Porcelain veneers before photo #1b Porcelain veneers after photo #1b
Porcelain veneers before photo #1c Porcelain veneers after photo #1c
Porcelain veneers before photo #1d Porcelain veneers after photo #1d
Porcelain veneers before photo #1e Porcelain veneers after photo #1e

Case #2

This case of extremely crooked, discolored teeth was treated in just two weeks. The results show a remarkable transformation with no braces.

Porcelain veneers before photo #2a Porcelain veneers after photo #2a
Porcelain veneers before photo #2b Porcelain veneers after photo #2b
Porcelain veneers before photo #2c Porcelain veneers after photo #2c
Porcelain veneers before photo #2d Porcelain veneers after photo #2d
Porcelain veneers before photo #2e Porcelain veneers after photo #2e
Porcelain veneers before photo #2f Porcelain veneers after photo #2f
Protruding teeth and
spaces between teeth
Overbite corrected and spaces closed. All done in two visits, two weeks apart, with no braces or surgery.

Top


Orthodontics for Children & Adults

Tooth straightening with orthodontics can be done for children as young as 8 years old and for adults at any age. There is no limit in age for adult orthodontics. Our orthodontic team can work with the cosmetic team at Dental Care of Stamford to create a program to give you the best results in the best way for you.

Orthodontic Frequently Asked Questions   |  Orthodontic Terms
Orthodontic Care   |  Orthodontic Emergencies/Problems

Orthodontic Frequently Asked Questions

What age should my child have an orthodontic evaluation?
Why is it important to have orthodontic treatment at a young age?
What Causes Crooked Teeth?   |  How Do Teeth Move?   |  Will It Hurt?

What age should my child have an orthodontic evaluation?

The American Association of Orthodontists (AAO) recommends an orthodontic screening for children by the age of 7 years. At age 7 the teeth and jaws are developed enough so that the dentist or orthodontist can see if there will be any serious bite problems in the future. Most of the time treatment is not necessary at age 7, but it gives the parents and orthodontist time to watch the development of the patient and decide on the best mode of treatment. When you have time on your side the orthodontist can plan ahead and prevent the formation of serious problems.

Why is it important to have orthodontic treatment at a young age?

Research has shown that serious orthodontic problems can be more easily corrected when the patient’s skeleton is still growing and flexible. By correcting the skeletal problems and working with the baby teeth at a younger age the orthodontist can prepare the mouth for the eventual eruption of the permanent teeth. If the permanent teeth have adequate space to erupt they will come in fairly straight. If the teeth erupt fairly straight their tendency to get crooked again after the braces come off is diminished significantly. After the permanent teeth have erupted, usually from age 12-14, complete braces are placed for final alignment and detailing of the bite. Thus the final stage of treatment is quicker and easier on the patient. This phase of treatment usually lasts from 12 - 18 month and is not started by the orthodontist until all of the permanent teeth are erupted.

Doing orthodontic treatments in two steps provides excellent results often allowing the orthodontist to avoid removal of permanent teeth and jaw surgery. The treatment done when some of the baby teeth are still present is called Phase-1. The last part of treatment after all the permanent teeth have erupted is called Phase-2.

What Causes Crooked Teeth?

Crowded teeth, thumb sucking, tongue thrusting, premature loss of baby teeth, a poor breathing airway caused by enlarged adenoids or tonsils can all contribute to poor tooth positioning. And then there are the hereditary factors. Extra teeth, large teeth, missing teeth, wide spacing, small jaws - all can be causes of crowded teeth.

How Do Teeth Move?

Tooth movement is a natural response to light pressure over a period of time. Pressure is applied by using a variety of orthodontic hardware (appliances), the most common being a brace or bracket attached to the teeth and connected by an arch wire. Periodic changing of these arch wires puts pressure on the teeth. At different stages of orthodontic treatment your child may wear a headgear, elastics, a positioner or a retainer. Most orthodontic appointments are scheduled 4 to 6 weeks apart to give the teeth time to move.

Will It Hurt?

When teeth are first moved, discomfort may result. This usually lasts about 24 to 72 hours. Patients report a lessening of pain as the treatment progresses. Pain medicines such as acetaminophen (Tylenol) or ibuprofen (Advil) usually help relieve the pain.

Top


Orthodontic Terms

Arch Wire   |  Brackets   |  Band & Loop (B&L)   |  Elastics (Rubber Bands)   |  Functional Appliances   |  Headgear   |  Herbst   |  Lower Lingual Arch (LLA)   |  Malocclusion   |  Occlusion   |  Openbite   |  Overbite   |  Overjet   |  O rings   |  Palatal Widening Appliance   |  Retainers   |  Separator

Orthodontic terms image

Arch Wire

The part of your braces which actually moves the teeth. The arch wire is attached to the brackets by small elastic donuts or ligature wires. Arch Wires are changed throughout the treatment. Each change brings you closer to the ideal tooth position.

Brackets (Braces)

Brackets are the “Braces” or small attachments that are bonded directly to the tooth surface. The brackets are the part of your braces to which the dentist or assistant attaches the arch wire.

Occasionally, a bracket may come loose and become an irritation to your mouth. You can remove the loose bracket and save it in an envelope to bring to the office. Call the office as soon as possible and make an appointment to re-glue the bracket.

Band & Loop image Band & Loop (B&L)

A Band & Loop is routinely used to hold space for a missing primary (baby) posterior (back) tooth until the permanent tooth can grown in.


Elastics (Rubber Bands)

At some time during treatment, it will be necessary to wear elastics to coordinate the upper and lower teeth and perfect the bite. Once teeth begin to move in response to elastics, they move rapidly and comfortably. If elastics (rubber bands) are worn intermittently, they will continually "shock" the teeth and cause more soreness. When elastics are worn one day and left off the next, treatment slows to a standstill or stops. Sore teeth between appointments usually indicate improper wear of headgear or elastics or inadequate hygiene. Wear your elastics correctly, attaching them as you were told. Wear elastics all the time, unless otherwise directed. Take your elastics off while brushing. Change elastics as directed by your orthodontist, usually once or twice a day.

Functional Appliances

These are used to help modify the growth of the jaws in children. The theory behind their action is that if you hold a jaw in a specific position long enough, that it will grow into that position. What you usually get is a combination of a little jaw growth with a lot of tooth movement. These are not universally accepted, as they do not always work.

The first of these appliances were removable and are still very popular with some orthodontists. They are made of plastic and wire. Some of their names are Frankel, Bionator, and Twin-block. A different style is actually fixed to the teeth and uses a spring action to hold the jaw into position. These have names like Herbst and Jasper Jumper.

Headgear

Often called a “night brace”. The headgear is used to correct a protrusion of the upper or lower jaw. It works by inhibiting the upper jaw from growing forward, or the downward growth of the upper jaw or even by encouraging teeth to move forward, if that is the case.

Herbst image Herbst

Another appliance designed to encourage the lower jaw to grow forward and “catch up” to upper jaw growth.


Lower Lingual Arch (LLA)

Lower lingual arch image A lower lingual arch is a space maintainer for the lower teeth. It maintains the molars where they are, it does not move them. This is fabricated by placing bands on the molars and connecting them to a wire that fits up against the inside of the lower teeth. It keeps the molars from migrating forward and prevents them from blocking off the space of teeth that develop later. This is used when you have the early loss of baby teeth or when you have lower teeth that are slightly crowded in a growing child and you do not want to remove any permanent teeth to correct the crowding.


Malocclusion

Poor positioning of the teeth.

Types of Malocclusion

Class I Malocclusion

Class I

A Malocclusion where the bite is OK (the top teeth line up with the bottom teeth) but the teeth are crooked, crowded or turned.

Class II  Malocclusion

Class II

A Malocclusion where the upper teeth stick out past the lower teeth.

Class III Malocclusion

Class III

A Malocclusion where the lower teeth stick out past the upper teeth. This is also called an “underbite”.

Occlusion

The alignment and spacing of your upper jaw and lower teeth when you bite down.

Types of Occlusion:

Openbite - Orthodontics

Openbite

Anterior opening between upper and lower teeth.

Overbite - Orthodontics

Overbite

Vertical overlapping of the upper teeth over the lower.

Overjet - Orthodontics

Overjet

Horizontal projection of the upper teeth beyond the lower.

Crossbite

Crossbite

When top teeth bite inside the lower teeth. It can occur with the front teeth or back teeth.

O rings

O rings, also called A-lastics, are little rings used to attach the arch wire to the brackets. These rings come in standard gray or clear, but also come in a wide variety of colors to make braces more fun. A-lastics are changed at every appointment to maintain good attachment of the arch wire to the bracket, enabling our patients to enjoy many different color schemes throughout treatment.

Palatal Widening Appliance Palatal Widening Appliance

An appliance which is placed in the roof of the mouth to widen the upper dental arch. The maxilla, or upper dental arch, is joined in the center by a joint, which allows it to be painlessly separated and spread. Temporarily you may see a space develop between the upper two front teeth. This will slowly go away in a few days. Once this has occurred, the two halves knit back together and new bone fills in the space.

Care of appliance: Brush as usual. Brush the appliance and roof of the mouth thoroughly. Rinse often to clean any food lodged between the arch and appliance.

Retainers

At the completion of the active phase of orthodontic treatment, braces are removed and removable appliances called retainers are placed. To retain means to hold. Teeth must be retained or held in their new positions while the tissues, meaning the bone, elastic membranes around the roots, the gums, tongue and lips have adapted themselves to the new tooth positions. Teeth can move if they are not retained. It is extremely important to wear your retainers as directed!

Separator

Separator A plastic or rubber donut piece which the orthodontist uses to create space between your teeth for bands.



Top


Orthodontic Care

Braces Care   |  Appliance Care   |  Elastics Care   |  Proper Diet

Braces Care

You will be shown the proper care of your braces when your orthodontic treatment begins. Proper cleansing of your mouth is necessary every time you eat. Teeth with braces are harder to clean, and trap food very easily. If food is left lodged on the brackets and wires, it can cause unsightly etching of the enamel on your teeth. Your most important job is to keep your mouth clean. If food is allowed to collect, the symptoms of gum disease will show in your mouth. The gums will swell and bleed and the pressure from the disease will slow down tooth movement.

BRUSHING: You should brush your teeth 4-5 times per day.

  1. Brush back and forth across...between the wires and gums on the upper and lower to loosen any food particles.
  2. Next, brush correctly as if you had no brackets or appliances on.
  3. Start on the outside of the uppers with the bristles at a 45 degree angle toward the gum and scrub with a circular motion two or three teeth at a time using ten strokes, then move on.
  4. Next, do the same on the inner surface of the upper teeth.
  5. Then, go to the lower teeth and repeat steps A & B.

Look in a mirror to see if you have missed any places. Your teeth, brackets and wires should be free of any food particles and plaque.

Note: If your gums bleed when brushing, do not avoid brushing, but rather continue stimulating the area with the bristles. Be sure to angle your toothbrush so that the area under your gum line is cleaned. After 3 or 4 days of proper brushing, the bleeding should stop and your gums should be healthy again.

FLOSSING: Use a special floss threader to floss with your braces on. Be sure to floss at least once per day.

FLUORIDE RINSE OR GEL: May be recommended for preventive measures.

Appliance Care

Clean the retainer by brushing with toothpaste. If you are wearing a lower fixed retainer be extra careful to brush the wire and the inside of the lower teeth. Always bring your retainer to each appointment. Avoid flipping the retainer with your tongue, this can cause damage to your teeth. Place the retainer in the plastic case when it is re-moved from your mouth. Never wrap the retainer in a paper napkin or tissue, someone may throw it away. Don't put it in your pocket or you may break or lose it. Excessive heat will warp and ruin the retainer.

Elastics Care

If elastics (rubber bands) are worn intermittently, they will continually "shock" the teeth and cause more soreness. Sore teeth between appointments usually indicate improper wear of headgear or elastics or inadequate hygiene. Wear your elastics correctly, attaching them as you were told. Wear elastics all the time, unless otherwise directed. Take your elastics off while brushing. Change elastics as directed, usually once or twice a day.

Proper Diet

Avoid Sticky Foods such as:

Caramels
Candy bars with caramel
Fruit Roll-Ups
Gum
Candy or caramel apples
Skittles
Starbursts
Toffee
Gummy Bears

Avoid Hard or Tough Foods Such as:

Pizza Crust
Nuts
Hard Candy
Corn Chips
Ice Cubes
Bagels
Popcorn Kernels

Cut the following foods into small pieces and chew with the back teeth:

Apples
Carrots
Corn on the Cob
Pizza
Pears
Celery
Chicken Wings
Spare Ribs



Orthodontic Emergencies or Problems

Loose Bracket | Poking Wire | Wire out of Back Brace
Poking Elastic (Rubber Band) Hook | Sore Teeth

Please feel free to contact our orthodontics department if you are experiencing any discomfort or if you have any questions about your orthodontic care or your braces. Below are a few simple steps that might help if you are unable to contact us or if you need a “quick fix”.

Loose Bracket

Occasionally, a glued bracket may come loose. You can remove the loose bracket and save it in an envelope to bring to the office or leave it where it is, if it is not causing any irritation. Call the office as soon as possible in order for us to allow time to re-glue the bracket.

Poking Wire

If a wire is poking your gums or cheek there are several things you can try until you can get to the office for an appointment. First try a ball of wax on the wire that is causing the irritation. You may also try using a nail clipper or cuticle cutter to cut the extra piece of wire that is sticking out. Sometimes, a poking wire can be safely turned down so that it no longer causes discomfort. To do this you may use a pencil eraser, or some other smooth object, and tuck the offending wire back out of the way.

Wire out of Back Brace

Please be careful to avoid hard or sticky foods that may bend the wire or cause it to come out of the back brace. If this does happen, you may use needle nose pliers or tweezers to put the wire back into the hole in the back brace. If you are unable to do this, you may clip the wire to ease the discomfort. Please call the office as soon as possible to schedule an orthodontic appointment to replace the wire.

Poking Elastic (Rubber Band) Hook

Some brackets have small hooks on them for elastic wear. These hooks can occasionally become irritating to the lips or cheeks. If this happens, you may either use a pencil eraser to carefully push the hook in, or you can place a ball of wax on the hook to make the area feel smooth.

Sore Teeth

You may be experiencing some discomfort after beginning treatment or at the change of wires or adjusting of appliances. This is normal and should diminish within 24-72 hours. A few suggestions to help with the discomfort:

  1. Rinse with warm water, eat a soft diet, take acetaminophen (Tylenol) or ibuprofen (Advil) as directed on the bottle.
  2. Chewing on the sore teeth may be sorer in the short term but feel better faster.
  3. If pain persists more than a few days, call our office.

Top